Accessible Version
Trung Pham DMD

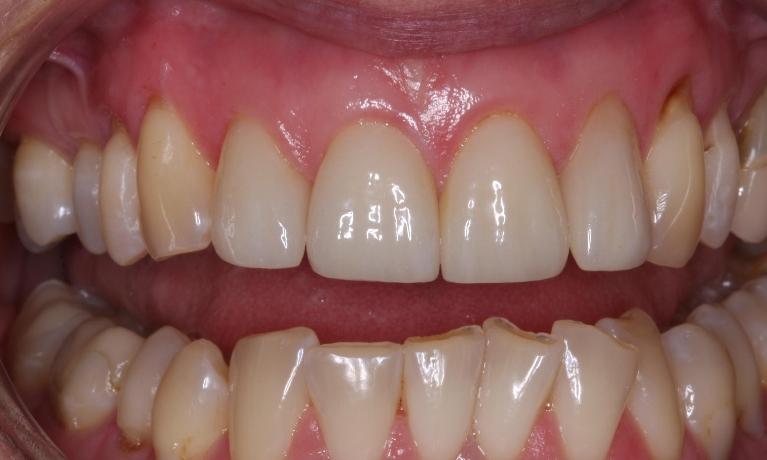
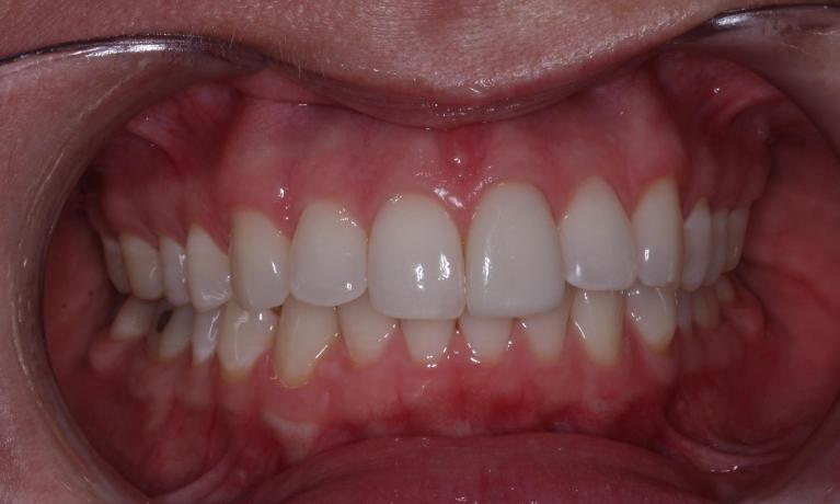
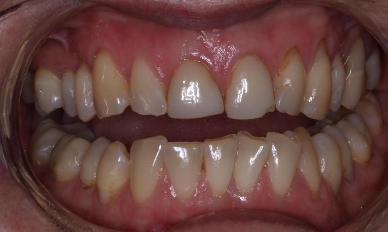
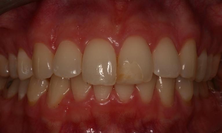
Smile Gallery

If you're thinking about improving the health and appearance of your smile, we offer the treatments you need to help you achieve your goals. Please take a moment to browse through our Smile Gallery to see the transformations we've created for our patients, then call our dental office at (408) 287-8880 to schedule a consultation to get started.

Getting an appointment is fast and easy!
James G.

"I've been going to Doctor "Tru" for a few years now. The thing I love about him is his gentle touch and the fact that I've never had the slightest discomfort or pain. This may sound crazy, but lately I've fallen asleep while getting dental work done! That's a level of relaxation I've never had with any other dentist. 6+ stars and a big "yay" for Doctor Tru!!!"

If you have difficulty using our website, please email us or call us at (408) 287-8880
View the ADA Accessibility Statement