Accessible Version
Trung Pham DMD

Veneers

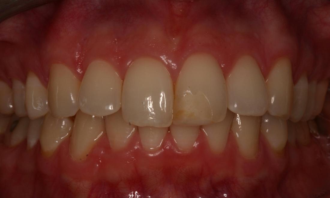
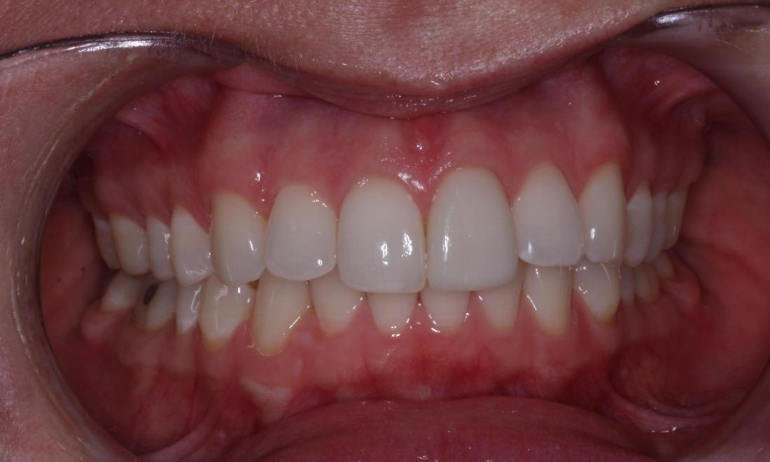
The patient had chipped her upper left front tooth and it was restored several times with a filling. The patient was not happy with the discoloration of the filling and wanted a better esthetic restoration. We first bleached her teeth and did a conservative veneer to achieve the patient's esthetic goals.

Elliot A.

"Dr. Pham is a very knowledgeable and friendly dentist. I've been going to his practice for almost 3 years after neglecting my teeth for years and, with Dr. Pham's assistance and guidance, have restored my teeth's health and have a great smile that I can be proud of as a result. He isn't pushy about anything but instead works with each patient to see how large an investment he or she wants to make in their teeth, knowing that it differs from person to person. He also seems to take an interest in each patient's personal life as well, which is nice and humanizes the dentist experience, making it more enjoyable to visit for something most people tend to dread. I would strongly recommend Dr. Pham for anyone looking for a great dentist in San Jose."

Ready to book an appointment?
If you have difficulty using our website, please email us or call us at (408) 287-8880
View the ADA Accessibility Statement