Cosmetic Dentistry
When you have a smile that you are proud of, it can make your routine day-to-day activities seem easier. A beautiful smile is a valuable asset that allows you to express yourself freely and to interact confidently with others in business and social settings.
If, on the other hand, you feel self-conscious about your smile and tend to hide it, others may see you as unfriendly, unhappy, or unapproachable. This can feel very frustrating if you are actually an outgoing, sociable person who loves to interact with others. 
If other people are mistakenly taking you for an unfriendly person because you’ve been hiding your smile, our dental office can help you turn things around. Our San Jose, CA dental office can offer many different cosmetic dental treatments to improve the look of your smile. No matter which aspects of your smile you are unhappy with, we can provide simple, beautiful solutions.
Read on to learn more about how our cosmetic dentist in San Jose can help you achieve the smile of your dreams.
- Ways We Can Improve Your Smile
- A Wealth of Cosmetic Services to Fit Your Needs
- Cosmetic Dental Treatments to Change Your Life
- Get Started With a Cosmetic Dental Appointment
Ways We Can Improve Your Smile
At the office of Trung Pham, DMD, we always start by asking our patients how we can improve their smiles. As simple as it sounds, we can’t deliver the results you want unless we understand your priorities. No one knows your smile better than you do! So, when you’re considering improving your smile, you should ask yourself a few questions:
- Do you generally like the way your teeth look?
- Are you happy with the color of your teeth?
- Do you have uneven gaps and spacing between teeth?
- Are there chips or cracks you want to address?
- Do you have crooked teeth you want to straighten?
- Has tooth loss left an apparent gap in your smile?
- Do you feel like your teeth are too long or too short?
When you answer these questions for yourself, you can identify what you’d like to change, and Dr. Pham can recommend the appropriate treatment to help you achieve your unique goals.
At Trung T. Pham, DMD, we want to help you address all your cosmetic dentistry concerns. If you need a talented, attentive cosmetic dentist in San Jose, CA, look no further than Dr. Pham! We are currently accepting new cosmetic dental patients and would love nothing more than to help you discover the smile of your dreams.
A Wealth of Cosmetic Services to Fit Your Needs
Depending on your needs, the best solution for you may be as straightforward as professional teeth whitening. Or, if wear and tear have caught up with your smile and you have multiple problems to address, a full smile makeover that combines several treatments may be in order.
The greatest thing about cosmetic dentistry is how customizable it is. Our clinical dental team can help you correct minor concerns or more thoroughly address major problems with your smile.
In either case, we offer a wealth of services to help you achieve your cosmetic goals:
- Tooth-colored fillings
- Cosmetic dental bonding
- Lab or chairside dental veneers
- Gum reshaping and recontouring
- All-ceramic crowns
- Professional teeth whitening
- Dental implants
Dr. Pham has been practicing cosmetic dentistry for over 20 years and understands that the decisions you make about your care are very personal. When he meets with you, he spends time talking to you about your goals, answering your questions, and providing information about the different procedures we offer.
Dr. Pham is here to support you in every way possible. To ensure that you’re delighted with the outcome, however, the ultimate decision about your dental treatment is always up to you. When you are ready to schedule a time to talk with Dr. Pham about your smile, our San Jose dental office can be reached at (408) 287-8880.
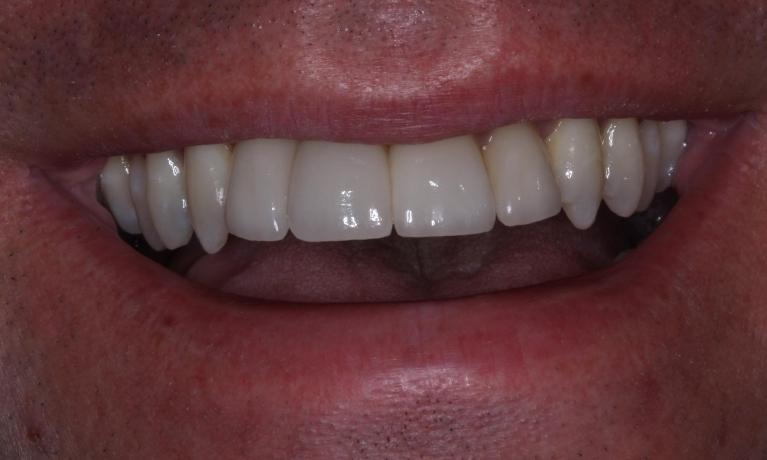
Cosmetic Dental Treatments to Change Your Life
Teeth may seem like a small matter in the big scheme of things, but we hear again and again from our San Jose, CA dental patients how amazed they are at the difference a beautiful smile can make. Sometimes we don’t realize how often we show our teeth to other people — but between smiling, speaking, and eating, we use our mouths dozens and dozens of times each day. Over time, it makes a big difference if we can show off a set of teeth that we are proud of.
A cosmetic dental treatment that is done well can truly change your life. If you are embarrassed by or unhappy with your smile, you may be surprised by how different you could feel with a more pleasant smile. This is where our cosmetic dental treatments in San Jose, CA come in!
At the dental office of Trung T. Pham, D.M.D., we believe in offering as many cosmetic dental treatments as we can. Below, we discuss in more detail a few of the ways some of our cosmetic services can truly change your life:
Teeth Whitening
Professional teeth whitening in San Jose, CA is one of the easiest ways to enhance the look of your smile. Professional whitening services are fast, affordable, and completely painless. If you have teeth that have been discolored or stained over time, our in-office or take-home treatments can safely bleach your teeth back to a beautiful, whiter color.Professional teeth whitening makes it easy to control the intensity of your whitening and to customize the color and shade of your teeth. If you have questions about our dental office’s professional teeth whitening services, Dr. Pham would be happy to meet with you!
Tooth-Colored Fillings
Gone are the days where you have to resort to unsightly, metal fillings in your mouth if you have a cavity. Modern dental technology now allows us to safely fill cavities while still keeping your smile white and looking unaltered! Our San Jose cosmetic dentist uses tooth-colored fillings that blend seamlessly with the rest of your smile. If you need a subtle cavity filling in San Jose, look no further than our cosmetic dental office.
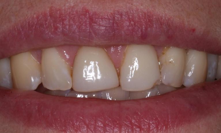
Dental Veneers
If your smile is healthy but you are not happy with the way it looks, porcelain dental veneers may be a great solution for you. Our dental team uses veneers to improve the appearance of otherwise-healthy smiles that may have chips, cracks, stains, or misshapen areas in the teeth.
Dental veneers are highly versatile and can be used to change the look of one tooth, several teeth, or even every tooth in your mouth. Whether you need a simple fix for a small area or a full smile makeover, Dr. Pham can use dental veneers in San Jose, CA to help you. Getting veneers is a simple way to restore your confidence in your smile!
Get Started with a Cosmetic Dental Appointment
Dr. Pham has helped numerous patients achieve their dream smile, and we would love to help you, too. The first step is to schedule a smile consultation with us at our San Jose dental office so we can learn about your goals for a more attractive smile. During this cosmetic dental appointment, we will gain a better understanding of what you want your smile to look like and help provide advice on how to get there.
Your beautiful smile in San Jose, CA is truly just a phone call away. Please contact us at (408) 287-8880 to get started — we are excited to smile with you!