Crowns and Bridges
We rely on our teeth to help us speak clearly, eat comfortably, and allow us to share confident smiles with others. But as the years go by, many of us suffer routine dental wear or tooth loss that leaves us looking for solutions. We still need our teeth to be in good working order as we age, which means many of us turn to restorative dentistry when we need help.
If your teeth are worn down or damaged, restorative dentistry is often the answer. Restorative dental treatments, like dental crowns and bridges, restore health to your teeth and beauty to your smile. Dental bridges can help you cover gaps left behind by missing teeth, and dental crowns can protect and defend natural teeth that are still intact.
At the dental office of Trung Pham, DMD, our goal is to help you maintain the health of your teeth for your entire lifetime. Restoring damaged or missing teeth with quality tooth crowns and bridges helps maintain the health, beauty, and function of your smile. If you need crowns for your teeth in San Jose, our dentist can place them and have your smile fixed up in no time! You can call our dental team at (408) 287-8880 to schedule your dental appointment with Dr. Pham.
If you would like to learn more about tooth crowns and dental bridges, we invite you to read the sections of this web page below:
- What is a dental crown?
- Why do I need a dental crown?
- How do you place a ceramic dental crown?
- When do you recommend a dental bridge?
What is a dental crown?
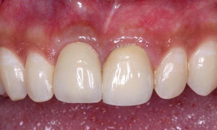
A tooth crown is an artificial dental prosthetic that is shaped like a little helmet. Dentists can place tooth crowns over compromised teeth to protect them. These dental crowns protect damaged teeth by absorbing chewing forces from your bite and by shielding compromised teeth from plaque and bacteria.
Dental crowns rest on top of your natural tooth and your gum line and hide the natural tooth that is underneath. Your dental crown will be visible when you speak and smile, but your compromised tooth underneath will not.
Crowns for teeth are popular among both dentists and patients alike. The main reason for this popularity is that tooth crowns are very versatile and can treat all sorts of different conditions or problems. If you have a minor or moderate issue with your teeth, such as a crack or discoloration, the odds are that Dr. Pham can use a dental crown to fix it.
Dentists use all different types of materials when they make dental crowns. Our San Jose dentist, Dr. Trung Pham, chooses ceramic for our tooth crowns because the material is reliable and durable. When used in dentistry, ceramic closely resembles natural dental enamel, so the restoration blends seamlessly with surrounding teeth.
In summary, dental crowns are small, sturdy dental restorations that can protect damaged teeth and improve the appearance of unattractive ones. These crowns for teeth fit over your remaining natural tooth structure like a helmet or cap to cover your tooth. We also permanently cement the tooth crown so that it stays in place.
If you need a tooth crown in San Jose, CA, call our trusted dentist, Dr. Pham, today at (408) 287-8880.
Why do I need a dental crown?
You might need a dental crown for a variety of reasons that can be both restorative and cosmetic. Common triggers for dental crowns include:
- A cavity that is too big for a standard filling
- A worn-down or damaged tooth
- A tooth that needs protecting after undergoing root canal treatment
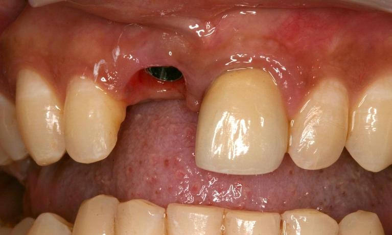
- Receiving a dental implant
- Discovering that tooth is severely discolored or poorly shaped
Dental crowns can fix cosmetic problems, which means if you want your smile to look newer and more beautiful, a dental crown could be a great option. Dental crowns also address restorative dental concerns and can strengthen a weak tooth. Additionally, dental crowns add the “finishing touch” to a dental implant and provide the necessary tooth crown portion so that you can chew, bite, and speak normally.
Dr. Pham wants you to be involved in deciding whether or not a tooth crown is right for your needs. When you come to our dental office with a concern about your smile, Dr. Pham will explain what the problem is, how addressing it benefits your oral health and the possible consequences of choosing not to get a tooth crown. We want you to be informed, but the final decision about treatment is always up to you.
To schedule your dental appointment with Dr. Pham, please call our dental team at (408) 287-8800.
How do you place a ceramic dental crown?
The process for placing a crown takes place over two or three visits. Dr. Pham will restore your tooth using a dental crown throughout your multiple dental appointments, and you will receive a temporary tooth crown to wear while we are creating your permanent one.
We typically place your new ceramic dental crown in several steps. First, we prepare your tooth for the artificial crown by altering its shape slightly. It’s necessary for us to properly shape your tooth so that your dental crown will fit perfectly. We don’t want to have any gaps or areas where the ceramic does not fit your natural tooth.
Then, we take impressions of your tooth, so we know the exact dimensions for your new tooth crown. We then use the impressions to design a model of the tooth and a temporary dental crown for you to wear home.
Once the design is ready, we transfer the model to a custom dental lab where skilled technicians fabricate your tooth crown. It usually takes about two weeks to receive the finished product back from the dental lab.
Once we have your finalized tooth crown, you return to our dental office. Dr. Pham then removes your temporary tooth crown, adjusts your new tooth crown for fit and proper bite, and cements it in place. With proper care that includes good oral hygiene at home and routine dental checkups and cleanings, your dental crown can last as long as ten years.
Our ceramic tooth crowns in San Jose are beautiful, high-quality restorations. If you have an injured tooth, we recommend making an appointment to see Dr. Pham right away so we can treat you!
When do you recommend a dental bridge?
A bridge is another dental prosthetic that we use to restore function and appearance to your smile after tooth loss. We typically design the dental bridge as a three-piece unit with a custom made tooth (pontic) suspended between two ceramic dental crowns. We secure the dental crowns to adjacent teeth, and the pontic sits in the open space.
If you’re dealing with tooth loss, Dr. Pham will explain the importance of tooth replacement and explain other options like dentures and dental implants. We want you to be informed about all possible solutions so you can make a confident decision about treatment. We recommend dental bridges in San Jose for patients who have lost multiple teeth in the same section of their mouth or for patients who have a gap surrounded by weakened teeth that could benefit from ceramic dental crowns.
Call Our San Jose Dentist Today
If you have damaged or missing teeth in San Jose and are looking for a solution, please call the office of Trung Pham, DMD at (408) 287-8880.
We can repair your smile with tooth crowns and dental bridges in San Jose, CA, and send you on your way with a new and improved version of your smile.